Abuela descubre que llevó una aguja en el cerebro por más de 80 años

Los médicos revelaron una posible hipótesis.
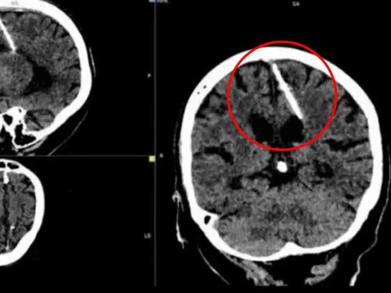
Cerebro de abuelita con aguja
Cerebro de abuelita con aguja Crédito: Redes

Lo que se suponía que sería un chequeo médico de rutina, se transformó en una sorprendente revelación en Rusia, cuando especialistas descubrieron una aguja de 3 centímetros de longitud en el cerebro de una mujer de 80 años.

Según el informe del Ministerio de Salud, los radiólogos identificaron el objeto durante una radiografía. Este incidente recuerda a un caso previo, donde a un soldado afgano se le encontró un explosivo en su cabeza hace varios años.

Lea también: [Video] Abuela de 104 años cumplió su sueño y saltó en paracaídas

Aunque no se han proporcionado detalles precisos sobre el lugar y la fecha exacta del suceso, las autoridades sanitarias han confirmado que la aguja se encontraba en el lóbulo parietal izquierdo de esta mujer. Sorprendentemente, parece que la aguja estuvo en su cerebro desde su infancia, y nunca le causó molestias ni dolores de cabeza.

Los médicos que examinaron el caso explicaron que la aguja probablemente fue introducida en el cráneo de la paciente durante su niñez, como una práctica desesperada que solían llevar a cabo los padres en tiempos de guerra y hambruna, como ocurrió durante la Segunda Guerra Mundial.

Lea más: Video: Conductor sufrió una convulsión mientas parqueaba: Una abuela perdió la vida

En aquel entonces, los progenitores introducían una aguja en un punto blando del cráneo de los recién nacidos, conocido como la fontanela, donde los huesos del cráneo aún no se habían fusionado. El punto se cerraba y ocultaba la aguja, provocando la muerte del bebé.

A pesar del sorprendente hallazgo, los médicos han decidido no extraer la aguja del cerebro de la mujer, ya que no representa un peligro inmediato para su salud.

Dado su avanzada edad, una cirugía podría ser riesgosa y grave para su bienestar, y la paciente ha vivido sin problemas de salud a lo largo de toda su vida.


Temas relacionados

Estados Unidos

Marihuana podría dejar de ser droga de alto riesgo en EE. UU.: Trump analiza reclasificación

En esa categoría se encuentran drogas como la ketamina y los esteroides anabólicos.
Mucha gente quiere que se lleve a cabo la reclasificación, porque ello daría lugar a una gran cantidad de investigaciones, dijo Trump.



"Gobernaré para todos", dice José Antonio Kast en su primer discurso a los chilenos

Además, el presidente electo llamó al respeto por la oposición y prometió una lucha frontal contra la delincuencia.

Kast agradece a Dios la victoria y promete “restablecer el respeto a la ley” en Chile

Kast vence a Jeannette Jara con 58% de los votos y promete restaurar la ley en todo el país.

“Nadie puede frenar las elecciones presidenciales”: registrador Penagos defiende la autonomía electoral para 2026

Hernán Penagos, registrador nacional,

¿De qué murió Ernesto Acher? Esto se sabe sobre la muerte del histórico integrante de Les Luthiers

Ernesto Acher fue una figura clave de Les Luthiers durante 15 años de historia del grupo.

Licencia menstrual remunerada: qué dice la ley y cuándo se puede solicitar

licencia-menstrual-colombia-implementa-licencia-menstrual-con-respaldo-medico-y-legal

El Partido Liberal también estaría pensando en encuesta y no en consulta

Aunque algunos partidos parecen inclinarse por la encuesta, otros actores políticos sí mantienen su interés en una consulta.

"Armando Benedetti va a terminar en la cárcel": Carlos Carrillo

El director de la UNGRD negó participar en debates político-electorales y afirmó que su actuación se limita a pedir resultados de investigaciones.

Tras tutela por acusaciones falsas, abogado de los hermanos Moreno reveló cuánto tiempo tiene Petro para retractarse por tutela

presidente-petro-abogado-explica-accion-de-tutela-en-contra-de-petro-por-difamacion

Esta semana se lanza, con nombre, la consulta de la centroderecha: ¿Estará Vicky?

Vicky Dávila

Las seis de las 6 con Juan Lozano | Lunes 15 de diciembre de 2025

Las seis de las 6 con Juan Lozano.

¿Está en marcha una transición en Venezuela? El proceso "ya comenzó"

gobierno-transicion-venezuela-esta-en-marcha-una-transicion-de-gobierno-esto-dice-el-tribunal

🔴EN VIVO: Atlético Nacional vs Medellín, final ida Copa Betplay

Nacional vs Medellín, Copa Betplay