Joven recibió puñalada en el pecho en intento de robo de su celular
El afectado aseguró que un milagro le salvó la vida.

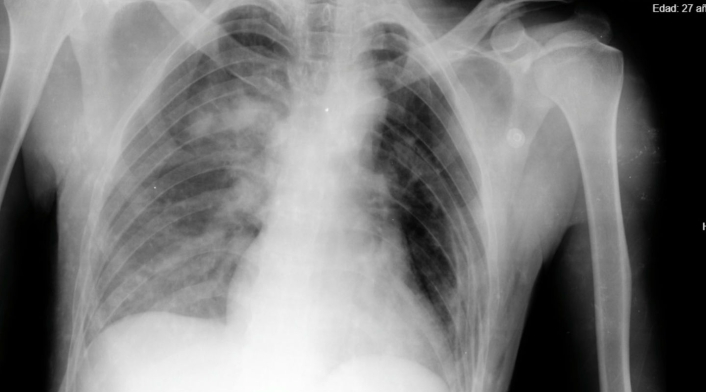
Una herida con arma cortopunzante estuvo a centímetro y medio de perforar el corazón de Deyson Peñaloza de 27 años, quien se desempeña como auxiliar de mantenimiento.
El joven en las últimas horas se convirtió en la nueva víctima de ladrones que pretendían hurtarle su celular en un episodio que vuelve a traer a debate la inseguridad en la ciudad.
(Lea también: Joven de 24 años, afectado por cadena falsa sobre robo de niños)
“El paciente ingresó inconsciente y con 98 % de probabilidades de morir, pero luego de la inmediata atención y valoración que recibió el joven, tras salir del área de reanimación, fue llevado a sala de cirugía donde se intervino de manera exitosa”, comentó Josef Kling, médico especialista de cirugía general de la Subred Sur.
El joven, en medio de su recuperación tras haber sufrido el bestial ataque por un robo, aseguró que un milagro le salvó la vida.
“Un hombre me atacó propinándome una puñalada, fue tan profunda que todavía no entiendo cómo sigo vivo. Más de uno me había dado por muerto por el estado en el que ingresé, pero gracias a los médicos del hospital de Meissen viví”, aseguró Peñalosa.
Mientras el paciente era atendido en el servicio de urgencias, en la unidad transfusional de la Subred Sur se le realizaron pruebas de laboratorio para atender sus hemoderivados y así poder adelantar el procedimiento quirúrgico, dada la condición crítica en la que fue recibido.
(Le puede interesar: Caravana de motociclistas disfrazados causó caos en el norte de Bogotá)
Luego de completar su recuperación en el servicio de hospitalización con ejercicios de incentivo respiratorio, Deyson fue dado de alta y se estima que, siguiendo una serie de recomendaciones y controles periódicos, muy pronto pueda retomar sus actividades diarias.
Durante el primer semestre –afirma la Secretaría de Salud– la Subred Sur realizó 13.678 procedimientos quirúrgicos en el área de urgencias de las diferentes unidades de servicios.

