Hombre fue de urgencias por fuertes dolores de cabeza: Hallan palillos en su cerebro

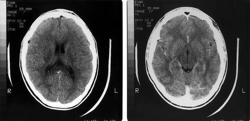
Los médicos le realizaron una tomografía computarizada, revelando la presencia de palillos dentro del cerebro del paciente.

En los últimos días, un asombroso suceso ha conmocionado a Vietnam, luego de que se revelara que un hombre llevaba incrustados en su cráneo palillos durante cinco meses, sin tener conocimiento de ello hasta que se sometió a una tomografía luego de quejarse de sus constantes dolores de cabeza.

El individuo, de 35 años de edad, llegó al Hospital de Amistad Cuba Dong Hoi, ubicado en el centro del país asiático, asegurando que sufría de fuertes dolores en la cabeza, secreción y pérdida de líquidos.

Lea también: Desentierran aterradoras momias con “cabezas falsas” en Perú

Por su parte, los médicos le realizaron una tomografía computarizada, revelando la presencia de palillos dentro del cerebro del paciente. Además, se le diagnosticó neumoencéfalo a tensión, una afección neurológica provocada por la acumulación de aire intracraneal.

Los palillos resultaron ser la causa subyacente de esta dolencia. El doctor Nguyen Van Man explicó que estos objetos habían ingresado por la nariz del paciente, incrustándose en su cerebro.

A pesar de haber estado allí durante cinco meses, el hombre no recordaba cómo habían llegado allí. Tras reflexionar durante varios minutos, recordó haber estado involucrado en una pelea mientras bebía alcohol hace algunos meses.

Lea más: Hombre le rapó la cabeza y las cejas por un "ataque de celos"

Según su recuerdo, durante el altercado, alguien lo golpeó en la cara con los palillos. Posteriormente, acudió a un hospital debido a los dolores que experimentaba, sin que los especialistas detectaran la presencia de algún objeto extraño en su cerebro.

Para aliviar los intensos dolores de cabeza, el paciente se sometió con éxito a una cirugía para extraer los palillos incrustados. Esta intervención fue crucial para prevenir futuras complicaciones derivadas de la presencia de estos objetos extraños en su cráneo.


Venezuela

Así fue la última aparición pública de María Corina Machado: protestó contra Maduro y fue detenida por el régimen

La líder opositora intenta llegar a Oslo para recibir en persona su Premio Nobel de Paz, confirmó su familia en los últimos días.
María Corina Machado ganó el Premio Nobel de Paz 2025 "por su incansable labor en la promoción de los derechos democráticos del pueblo de Venezuela".



Admiten que María Corina Machado no lograría viajar a Oslo: "Dios proveerá"

La voluntad de María Corina Machado es asistir a la ceremonia de entrega del Nobel

Donald Trump defiende ataques en el Caribe y amenaza con acciones en México y Colombia

Trump dijo en una entrevista que consideraría operaciones en México y Colombia, tras defender ataques en el Caribe que, según él, buscan frenar el narcotráfico.

Elecciones 2026: Cabal, Valencia y Holguín recibirían apoyo de De la Espriella y podrían unir fuerzas con Sergio Fajardo

Las tres aseguraron además que sí recibirían apoyo político de Abelardo de la Espriella y de Miguel Uribe Londoño.

Qué significa la caída de la reforma tributaria en Colombia: efectos y claves, según un economista

Así afectaría al Gobierno y a los ciudadanos la caída de la reforma tributaria, según economista de la Javeriana.

Puebla le ofreció a Colombia ser su sede en el Mundial: ¿qué implica y qué tan conveniente sería?

En el diálogo se mencionó que Puebla se encuentra a 2.115 metros de altitud y que la cercanía con Ciudad de México la convierte en una alternativa considerada por algunos cuerpos técnicos.

"Deploro que Fajardo haya tomado la decisión de no ir a ninguna consulta": Juan Manuel Galán

El líder del Nuevo Liberalismo dio a conocer los nombres que representarán al partido.

'Pipe' Córdoba se queda con el Partido Conservador

El excontralor tendrá el liderazgo del partido.

"Tenemos que darlo por superado y seguir adelante": Andrés Forero por decisión de CD y Miguel Uribe Londoño

El representante a la Cámara estará liderando al Centro Democrático.

"Es entre los extremos o conmigo y Colombia está mamada de la polarización": Fajardo

Sergio Fajardo busca unidad nacional y propone sanar malestares para avanzar como sociedad

Piden renuncia de viceministro de la igualdad que insultó a hija de Petro

Al viceministro le habrían pedido la renuncia luego de que se revelaran los chats.

Las seis de las 6 con Juan Lozano | Martes 9 de diciembre de 2025

Las seis de las 6 con Juan Lozano.

🔴 La FM Radio en Vivo | Escucha el Noticiero hoy 9 de diciembre de 2025

Portada Noticiero